当医院は最新の設備で治療にあたっております。
ここでは当院の設備について可能な限りご紹介いたします。

    歯科手術用顕微鏡です。
    手術部位を高拡大で大きく見えるだけでなく、明るく直進性のある光源によって影で暗くなっている奥深い場所まではっきり見ることが可能になります。
このマイクロスコープの使用によって今まで見えずに手探りと勘で行っていた処置もはっきり見ながら行えるようになったため、確実な処置が可能となります。
    
眼鏡のように手軽に使える拡大鏡です。
マイクロスコープのように根管の中までははっきり見えませんが、歯や歯ぐきの表層で微細な作業を行う際、非常に重宝します。

    今まで時間のかかっていた歯周病治療が生まれ変わります。
    当院が採用している半導体レーザーは他の方式と比較して最も歯周病治療に適しています。
    
    さらにこのレーザーは今までの半導体レーザーと違い、高出力・高パルスでの照射、エアと水による強力な冷却が可能なため多目的な用途に使用可能です。
    

当院の感染予防対策で大きな役割を担っている中性電解機能水を生成する器械です。中性電解機能水は水と食塩のみを原料として作るため、有害な物質は含まれていません。
この電解水は殺菌性を持ちながら、口腔内粘膜には無害です。しかも、そのまま下水に流しても全く問題なく環境にも非常に優しい水で、治療から器具洗浄まであらゆる場で使用しております。

歯周病菌の中には通常の歯周病治療や歯周内科を行っても退治しきれず、歯周病の再発を起こす場合があります。
この機械で作られる高濃度電解水は優れた浸透性と強力な殺菌力で歯周病菌を退治します。
歯周病治療時のみならずうがい時にも使えます。

治療で歯を削るときなどに使用するタービンなどの内部を隅々まで注油して、常に良いコンディションを保つため、快適な診療が可能となります。
また、タービン内部回路の洗浄も合わせて行うため、常に清潔な治療環境が維持できます。

当院には3台の高圧蒸気滅菌器(オートクレーブ)を完備しています。
プログラムオートで自動的に滅菌から乾燥工程まで行う通常のオートクレーブの他に、錆びや熱に若干弱い器具を滅菌するためにアルコール蒸気を用いたケミクレーブ、偶然使用する器具が重なってしまったときに数分で滅菌可能な高速滅菌器をそれぞれ最適な用途に使い分けて、皆様に安心していただける感染予防対策を行っております。
    

従来、熱に弱い器具はステリハイドという薬液で滅菌していましたが、水にも弱い材質には使えませんでした。
    
ホルマリンガス殺菌器によって熱にも水にも弱い器具に対しても十分な感染予防ができるようになりました。
診察室の汚染度を迅速かつ測定できるシステムで、清拭作業の確認が客観的に行え、院内衛生状態の向上・手術時の感染予防に役立ちます。


    
シリジェットという針の無い器械で麻酔薬を強圧で麻酔注射部位に噴霧することによって、今までのような塗り薬では味わえなかった確実な麻酔効果が得られ、その後の麻酔注射の痛みを大幅に軽減します。
    
注射器での麻酔薬注入時に、冷たい麻酔薬が注入されると非常に痛みが生じます。
しかし、麻酔薬をこのカートリッジウォーマーにて体温と同じ温度に暖めると、注入時の痛みが大幅に緩和されます。
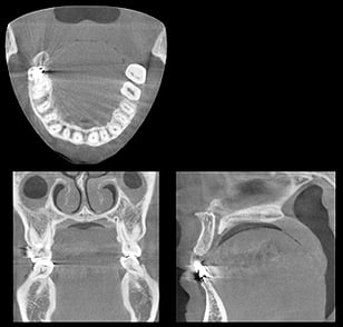
今まで歯科のレントゲン診断は全て平面で情報が得られないため、本来ある病変がレントゲン像では重なって覆い隠されてしまったり、立体的な位置関係がわからないため、限られた情報しか得られませんでした。
    
歯科用CTの導入により高解像度で立体像が得られるため、今までにない診断が得られるだけでなく、インプラント・矯正治療・精密根管治療・口腔外科手術なども今まで以上に安全に行えるようになりました。
    
同じCTでも腹部CTなどと違い低被ばくで安心です。
    
    
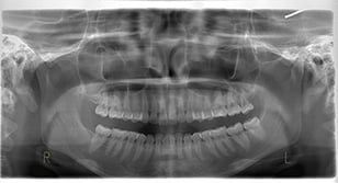
CCDならびにCMOSセンサーによる完全デジタルレントゲンです。
フィルムシステムと比較して圧倒的に少ない被ばく線量で安心です。
ひずみの少ない像で顎全体が写るパノラマレントゲンのみならず、顎関節撮影、矯正治療で必要なセファロレントゲンも撮影できます。
    
    
    
    
    
フィルムを使わないレントゲンシステムを採用しています。
    
従来のフィルムと比較して少ない被ばく線量です。
    
また従来のフィルムレントゲンは徐々に黒くなっていき、長期保存性に難がありましたが、デジタルシステムによって、劣化の無い画像を永久に保存することが可能となりままた現像液などの廃液が発生せず、環境にもやさしいシステムです。
各診察ユニットにオンラインで接続されたモニターが設置されています。このモニターによってレントゲンなどの画像データーが即座に見やすい大きさで確認できるのみならず、治療内容・方法や検査データーも豊富なアニメーションやグラフィックによってどなたにもわかりやすく見ることができます。


小型で接写可能の口腔内カメラで、歯を大きく写し出すことができます。
言葉では理解していただきにくい場合も、カメラの映像を見ることによって、歯の状態をわかりやすく確認することができます。
    
繊細なパワーコントロールが可能な装置で、歯石取りのみならず根管治療やかぶせ物の除去などさまざまな場面で活躍しています。
さらに専用ボトルからの給水に切り替えることによって、高濃度電解水など強力な効能がある水を注水しながら歯周病治療が出来るため、とても効果的です。
    
マイルドな振動なため、歯の表面を傷つけにくく歯石を取ることができます。さらに痛みも少なく手軽に歯石取りが受けられます。
    
歯の表面を傷つけにくい研磨剤を噴射して、ヤニや茶渋などの歯の表面の着色を隅々まで除去しながら確実に清掃できるプロフィフレックスを用意しています。
    
強力な研磨剤をピンポイントで噴射することによって、小さなむし歯の除去や修復物を接着する際の接着歯面処理が可能となり、痛みの軽減や接着力のアップに利用できます。

根管治療(歯の根の治療)を安全に行うため、繊細な回転とトルクをコントロールしながら、最新のニッケルチタン製の治療用具を制御することが可能となります。
    
また彎曲した根管に追随しにくいステンレス製器具も、容易に使うことができます。

歯型を採る材料(印象剤)は使用時にその都度、練和して使用します。しかし練和の状態によって印象剤の性能が大きくばらついていました。
    
しかしこの装置を用いることによって、印象剤の性能を最大限に発揮できる条件での練和が可能となり、今まで以上に正確な歯型を採ることが可能となります。
    
インプラントの手術時に用いる機械です。繊細な回転数とトルクの調整が可能かつ、安定した回転が得られる強力なモーターを内蔵しております。
    
モーターごと滅菌が可能で、非常にクリーンな環境でインプラントの埋入手術ができます。

インプランターによる回転運動での切削では、軟組織を大きく損傷させたり骨の状態によって思わぬ方向にドリルが進んでしまうことがありました。
    
ピエゾサージェリーによってインプラント手術時のこのような事故が容易に防げ、安心してインプラント手術ができるようになりました。

インプラントやそれに伴う骨を増やす手術などで、処置中の患者様の血圧・血液中酸素飽和度をリアルタイムでモニタリングする機器です。
    
特にインプラント手術時の苦痛を緩和するために鎮静を行う際は、必須のアイテムです。

顎関節や顎の運動に関係する筋肉の緊張をほぐすための理学療法器具です。最新の機器で複数の箇所に同時に電気刺激を与えられます。

高周波で体内の深部から温める機器で温熱療法に用います。
多くの温熱療法機器と違い、表面は全く熱くならないにも関わらず身体の芯からポカポカ温まります。
全身の血液循環を高め一時的に免疫力を増強させたり、顎関節症の治療などに用います。

極薄センサーを咬むことによって、咬み合わせの強さ・分布・干渉などをリアルタイムで測定できます。矯正治療や全顎的咬合治療の際に役立ちます。

足底の前後・左右バランスをリアルタイムで測定します。
    
矯正治療や全顎的咬合治療に用い、姿勢や靴の指導も必要に応じ行います。

唇を閉じる力を測定します。矯正治療に用い、表情筋トレーニングの指導に役立ちます。

舌を持ち上げる力を測定します。矯正治療や摂食機能障害のリハビリに用います。舌のトレーニングの指導に役立ちます。

鼻づまりを客観的に測定します。矯正治療に用い、鼻呼吸トレーニングのモニタリング・耳鼻科への紹介などに役立ちます。
([1]当医院の研修活動 /[2] なるべく少ない痛みで / [3]感染予防/ [4]充実した設備 / [5]院内技工 / [6]接遇について / [7]将来を見据えた歯科医院 / [8]保険外診療の説明と料金 / [9]レントゲン検査)