目立たない入れ歯

自然で若々しい精密・審美義歯

入れ歯にしてからしゃべりにくさをお感じではないでしょうか?
入れ歯にしてからろれつが回らなくなってきてはいないでしょうか? 
また、料理の味がわからなくなってきてはいないでしょうか?

入れ歯の金具が見えて、大きなお口を開けられないのではないのでしょうか? 
入れ歯を使っている内に、歯が黄ばんできて格好が悪くなってはいないでしょうか? 
ご家族の方にも入れ歯を入れていることを内緒にしておきたくはないでしょうか?

そんな理由で入れ歯はイヤだ、 
そこで歯医者さんに相談したらインプラントしかない、 と言われたけどインプラントは手術しないといけないしそんなこわい事はしたくない、
と思われている方は多いかと思います。

そんな方に最適な治療法がこの精密・審美義歯です。

それでは目立たない入れ歯の特徴をご紹介いたします。

 

 

1.目立たない金具

特殊なIBA設計法を行うことにより一般的な金具と違って、金具をほとんど見えなくすることができます。 これで気にせず大きなお口を開けることができます。

目立つ金具と見えない金具との違い その1

見えない金具

目立つ金具と見えない金具との違い その2

目立つ金具と見えない金具

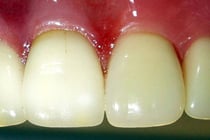
2.いつまでも白く美しいセラミックの歯

自然なセラミックの歯

保険の入れ歯は製作過程を簡素化せざるを得ず、そのため大きな誤差を生じます。

 

そのためたくさん削ってあわせる必要があるため、たくさん削れるプラスチックの歯を使いますが、半年くらいですぐに色がくすんでしまいます。 厳密に作った入れ歯は調整で削る量も少なくて済むため、いつまでの白く美しいセラミックの歯を使うことができます。

 

向かって左側がセラミックの歯で右側がプラスチックの歯です。このようにセラミックの歯は本当の歯と同じような自然感があります。

 

3.しゃべりやすい薄さ

薄い入れ歯

保険の入れ歯は土台部分をプラスチックで作ります。このプラスチックは強度がないので割れないように分厚く作りますが、その分舌の動きを邪魔するためとてもしゃべりにくくなります。

しかし金属のフレームを使用することによって強度を上げながら薄く作ることができるため、非常に発音がしやすくなります。

 

4.温かみが感じられる金属フレーム

プラスチックは熱の伝導が悪いため、食べた物の温かみや冷たさを十分感じることが出来ません。そのことは味わいも損なうことになってしまいます。 しかし金属のフレームなら熱の伝導性に優れるため、このようなことも改善することが出来ます。

温かみを感じることができる入れ歯

5.若々しく自然で健康的な歯肉を再現

通常、入れ歯の歯ぐきにあたる部分は単一の色で作ります。しかし実際の歯ぐきは微妙な色調変化があります。 向かって右側が通常の歯肉色です。

 

単色のため、いかにも作り物っぽく見られます。

 

向かって左側が歯肉の色をカスタマイズしたものです。

 

若々しい健康な歯肉の微妙な色調を再現することによって、美しさと若さを得ることができます。

歯肉の微妙な色調を再現した入れ歯

6.根っこだけになってしまった歯も有効に活用

むし歯などで大きく歯が崩壊してしまって根っこだけになってしまった場合、かぶせることもできないことが多く、その場合は通常抜歯になってしまいます。 しかし、この根っこだけの歯を残してアタッチメントと呼ばれる入れ歯との連結装置を取り付けることによって、歯も有効活用できると同時に、金具を見せない入れ歯にすることができます。

連結装置を取り付けることで金具を見せない入れ歯

※ 最近、グニャグニャに曲がるバルプラストやフレキサイトなどの材料を用いた審美義歯が非常に多く出回るようになりましたが、林歯科診療所では以下の理由によりこのような大きくたわむ材料を採用をしていません。

  1. どんなに歯ぐきとぴったり合った入れ歯でも、歯ぐきが痩せてきたら修理が必要です。しかしこれらのグニャグニャに曲がる素材は修理する材料との相性が非常に悪く、修理後に満足いく耐久性が得られないと考えます。当院ではエステショットという十分な修理が行える樹脂を採用しております。

  2. グニャグニャに曲がる樹脂のため、金具を使わずにこの樹脂だけで歯に留めていくシステムですが、入れ歯本体も咬む力によってグニャグニャひずんでしまうため、咬み合わせの面が沈みこんでしまい、咬み合わせの安定を考えると大きくひずむ材料の使用は疑問を感じます。


その点、当院の採用しているエステショットという樹脂はたわみすぎることなく、安定した咬み合わせを確保できます。

またグニャグニャに曲がる樹脂はセラミックの歯を使用できないため、長期的な美しさを確保することができません。

IBA設計法

IBA設計法を採用することによって入れ歯の止め具は、部分的に金属を使用しても目立たないようにすることも多くのケースで可能です。どうしても金属が使えないケースでも適度な弾力を有する樹脂、エステショットによって入れ歯をしっかり維持することが可能です。

 

IBA設計法に関してはこちらをご参照ください。

 

目立たない入れ歯に関しては健康保険適応外になりますので、費用については下記のリンクをクリックしてご参照ください。

精密・審美義歯 料金 

※“よく咬める・より外れない・より痛くない入れ歯をお求めの方は、“外れない入れ歯”のページをご参照ください。

 



ホーム / はやし歯科診療所について (院長紹介…) / ★はじめての方へ (医院理念  診療の流れ  感染予防…)  / 治療について 

 

※ご新規の方は行き違いを防ぐため、”治療について”ではなく、”★はじめての方へ” (医院理念  診療の流れ …) をご覧ください。

〒600-8846 京都府京都市下京区朱雀宝蔵町14

JR嵯峨野線 梅小路京都西駅から北西へ徒歩7分

TEL : 075-313-0024

 


予約フォーム

◆料金・お支払・保障制度

お支払方法について
保障制度

◆スタッフ募集

歯科衛生士求人・募集


◆カレンダー

スマホでご覧の方へ:スマホを横向きにすると、カレンダーを見やすくなります

 


◆診察時間

 

午前 8:30~14:00

8:30~15:30

午後 16:00~18:00

【〇:診療あり  -:休診】

※ 診療時間:土曜は毎週 8:30~15:30

 ・最終受付時間は各最終診療時間の30分前まで

・特に土曜日の診療時間は公務が多く不定期にかわりますので、電話にて直接お問い合わせください。 

ご新規の方は、"はじめての方へ" (医院理念  診療の流れ …)をご覧ください

 



お問い合わせフォーム