歯の根っこの先に膿が溜まってしまった場合、通常根管治療をおこなって治療していくのが第一選択になります。
しかし種々の事情で通常の根管治療が困難であったり、根管治療を行っても治癒の見込みが得られない場合、歯ぐきを切開して歯の根元の膿がたまっている場所に直接アプローチをする手術を行う場合があります。

手術は当院の痛みの少ない麻酔で痛み無く、手術後も普通に生活していただけますので安心です。
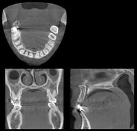
手術の際も歯科用CTによる正確な画像診断や微細な病変も見えるマイクロスコープ、生体にやさしい修復剤であるプロルート(MTA)などを使用することによってさらに成功率の大幅な向上と良好な予後が期待されます。

