親知らずは8番目の歯で多くの場合、まっすぐきれいに生え揃わずに、かえってむし歯・歯周病・咬み合せ不正などの原因となります。
無論、きれいに生え揃いきちんと歯みがきができる状態の親知らずならわざわざ抜歯する必要はございません。
また近々他の歯を抜歯する必要があって、その部位に親知らずを移植する予定ならば短期的に保存する場合もございますが、歯牙移植については当院では対応しているものの、ほとんどの医療機関では行っていないのが現状です。
その一方、親知らずの抜歯にはそれなりのリスクが伴います。 処置後の腫れ・痛み、抜歯創の治癒不全、術後の神経麻痺などが挙げられます。 術後の腫れ・痛みや抜歯創の治癒不全については近年の抗生物質の飛躍的な進歩に伴って、以前と比較するとかなり軽減されるようになりました。
その一方、下の親知らず抜歯の術後神経麻痺についてはごくまれに起こってしまうことがございます。
しかしこの神経麻痺は、下唇や歯茎などの感覚をつかさどる神経で、顎を動かしたり、顔の表情を作る神経とは異なるため、日常生活に多大な障害を与えるわけではございませんし、完全に神経を切断してしまうわけではないので、徐々に感覚も回復してきます。
また、上の親知らず抜歯の際もコルクの栓を抜いたように、まれに上顎洞と呼ばれる骨の空洞に抜けてしまうことがありますが、こちらについても抗生物質の長期投与などによって問題なく対処できます。
ここまでしても親知らずを抜歯しなくてはならない理由を挙げます。

親知らず周囲の歯肉が細菌感染し、腫れてきます。
放置しておくと顎の骨まで感染が進行するおそれがあります。

歯並びが不正な親知らずは、きちんとしたブラッシングを行うことは不可能で、プラークが多く残ってしまいます。
様々な感染や口臭の原因にもなります。
手入れが不十分になってしまうため、親知らずがむし歯になってしまいます。
器具も届かないのでむし歯の治療は出来ませんし、進行すると重篤な痛みが生じます。

親知らずと手前の歯との境目は、非常に物が詰まりやすくなります。
このような接し方をしている場合、手前の歯のほうが歯根面に当たるためとてもむし歯になりやすいです。
しかもこのような深い位置のむし歯は予後が悪くなります。

親知らずは清掃不良により、歯肉が感染します。
その感染が周囲に広がって特に手前の歯の歯周病を引き起こします。

よく上の親知らずが原因で起こりますが、上の親知らずで下の歯ぐきを咬んで傷つけてしまいます。

親知らずはまっすぐ生えずに傾いていることが大半です。
そのため、この親知らずと咬み合う相手の歯は常に、横殴りのストレスを受けることとなりダメージを受けます。

手前の歯に邪魔されて生えることの出来ない親知らずは、手前の歯を押す場合があります。
そのことによって歯並び全体に悪影響を及ぼすこともあります。
このように親知らずの抜歯を行うか否かは上記に記載された抜歯処置のリスクと、親知らずを残しておくことによるデメリットを天秤にかけて決定することが賢明な判断だと思われます。

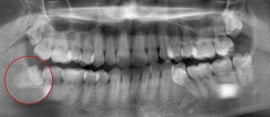
右下の親知らずが度々腫れるとのことで来院された状態です。 手前の歯にロックされていて横に向いている親知らずが生えることができません。
お口の中を一旦きれいに清掃し、お薬にて腫れを落ち着かせた状態にしてから親知らずを抜歯します。
平均しておおよそ10分~20分程度の処置時間です。
