自然で若々しく白い美しい歯を取り戻すためには、セラミックによる治療が非常に有効です。 セラミックは歯垢や色素が沈着しにくく、変色が一切ない材料です。 その反面、硬くもろい材質のため、かつては装着後に割れるなどのトラブルの多い治療法でした。
しかし、近年の接着技術の大幅な向上によって優れた耐久性を得られるようになりました。 この優れたセラミック治療も我々がしっかりした適応症の選択・前処置・接着技術の導入を行わないと、満足のいく結果が得られません。
そこで当院では、様々なケースに対応するために、多くのセラミック治療をラインナップしています。また、接着力を強化するためにロカテックシステムによる接着処理を行っており、長期の耐久性を有しています。

セラミック治療の色合わせ、簡単なようで実はとても難しいのです。
歯と人工材料との透過性の違いなどで、模型上と口腔内とでかなり色調が変わります。
当院ではそのような環境下でも色調を客観的に測定・分析できるクリスタルアイを用いております。

クリスタルアイなどの高性能な色調計測機器を用いても、実際の口腔内に入れた場合、色調の修正を余儀なくされることがあります。
そのような場合でも当院はセラミックをほとんど外注せず、院内技工で製作しているためその場での色の微調整も対応しています。

セラミックは自然な透明感がある反面、内面の下地の色が少し透けてしまい色調に大きく影響を受けます。
当院では4種類の色調を持った接着剤を使い分けることによって、下地の色調にも配慮したセラミック治療を行っています。
直接詰めることができない大きさの虫歯の治療の際、部分的に詰めるために型採りをおこなう方法です。
当院では自然な透明感があるプレスセラミック、適度な硬さとしなりのあるハイブリッドセラミック、圧倒的な強度を誇るジルコニアを症例に応じて適切に使い分けております。
*当院では数カ月で割れて歯に致命的な損傷を与える危険性のある保険のプラスチックのインレーは行っておりません。
透明感があり美しい色調のセラミックを高圧にプレスして作る美しさと強度を兼ね備えた詰め物です。
高精度な接着を行うことで安定した強度も得られます。
磨耗や色調の劣化も非常に少なく、長期間口腔内で安定していることもあって、保険外の詰め物の中では最も多く用いられております。
金属と同等の強度を有するジルコニアのブロックを削り出して作る方法で、白い色調を得ながらも割れにくい性質です。
奥歯のやや大きめの詰め物で特に適しています。
通常、よく用いられる硬質レジンより強い素材、ハイブリッドセラミックを使用します。
審美性・磨耗性・強度はセラミックインレーに劣りますが、分厚く作ることができるため、極端に深い詰め物に適しています。
歯を全周にわたってかぶせる方法で、インレーでも対応できない大きな虫歯に用います。部位や症例によってさまざまな材料を適切に使い分けることで、高い審美性と安定性を得ることができます。
非常に強度の高いジルコニアフレームにセラミックを重ねる方法で、全く金属を使わずに咬み合わせの力が強くかかる箇所やブリッジに用いることが出来ます。
オールセラミックに準ずる美しさとメタルセラミックと同様の強度を有します。
全てセラミックで出来ているかぶせ物で、セラミック治療の中でも最も自然な美しい仕上がりです。 特に金属を使わないため、本来歯がもつ自然な透明感を再現できます。
・治療例
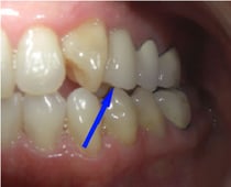
当院で行ったオールセラミッククラウンです。天然の歯とほとんど見分けがつかず他院で装着された不自然なメタルボンドセラミッククラウンと比較していただけば、ご理解いただけると存じます
金属フレームの外側にセラミックを焼き付ける方法で、従来から行われている実績十分の方法で、ほとんどケースを選ばない汎用性があります。

金属に匹敵する強度のジルコニアブロックをコンピューター制御の機械で被せ物の形に削り出して作ります。
セラミックと比較すると透明感に劣りますが、シンプルな構造と圧倒的な強度で割れたりすり減ったりするなどのトラブルが非常に少ない方法です。
大臼歯の被せ物に適しています。
単色で透明感のある高強度のセラミックを鋳型に打ち込んで作る方法です。
微妙な色調変化や強い咬み合わせにも耐える強度は得られませんが、全体的に優れた艶と透明感を有しているため、小臼歯に使うには非常に適した方法です。
金属フレームの外側にハイブリッドセラミックを貼り付ける方法です。
ハイブリッドセラミックはレジンとセラミックの中間の性質があり、歯の表面にあるエナメル質と非常に近い硬さがあり、非常に歯に優しい材料です。
その反面、色調や透明感はセラミックに大きく劣るため、咬み合わせの力が大きくかかり歯が痛みやすい奥歯に最適な材料です。
当院で採用しているハイブリッドセラミックは、最もエナメル質と硬さが近いクラレ社のエステニアを採用しております。
※保険のプラスチック
健康保険が使え非常に安価ですが、本来歯が持つ自然な色彩と透明感は得られず、数年で変色し表面の艶も失われます。 また咬みあわせによってすり減り歯並びが狂うこともあります。
さらに隣の歯との摩擦によってすり減り歯の境目が空いてしまい、食べカスがよく詰まることによって歯周病の悪化を招く恐れがあります。
歯の神経を取ってしまっている歯は、歯冠の崩壊も大きく神経のあった根管を支えにポストコアと呼ばれる柱を立てないとかぶせ物が維持できません。
このポストコアは非常に大きな力がかかるため、従来は硬い金属製のものを使用しておりました。
しかし全く金属を使わないオールセラミックなどの持つ自然な透明感が金属製のポストコアを使用すると損なわれます。
そこでグラスファイバー製のポストコアを使用することで十分な強度・歯根にやさしい物性を有しながら自然な透明感が得られます。
なお、歯に優しい物性に関してはマイクロスコープ治療のページをご参照ください。
歯の表面をごく一層削ります。
歯の切削終了後、正確な歯型を採るために丁寧に歯肉を押し広げます。
精度の高い材質で歯型を採ります。
セラミック板(ラミネートベニア)の作成に数日を要します。
数日後、作成したセラミック板を装着するために接着操作を行います。この際、当院では最新の接着性修復技術を導入して、耐久性・信頼性を向上させております。
セラミック板を装着し、はみ出た接着材を丁寧に除去します。
ラミネートベニアはごく一層しか歯を削りませんので、ご安心して治療を受けていただけます。
治療例1
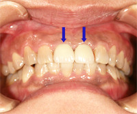
全体的に暗い色調の歯に加え、片方の前歯には色の悪い保険のプラスチックのかぶせ物、もう片方には神経を取って変色してしまった歯があります。
前歯全体をホワイトニングするとともに保険のプラスチックの歯はオールセラミッククラウンを、神経を取った歯にはラミネートベニアを行い、美しく仕上げました。
治療例2
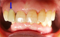
歯周病の進行によって歯と歯の間の隙間が大きく開いてしまい、審美的に問題が生じました。
このため、歯の表面をごく一層削って、薄いセラミックの板を貼り付けるラミネートベニアによって、大きく開いてしまった空隙を詰めて審美性の回復が得られました。