ホワイトニング

当院では歯に優しく、痛くなく、なおかつ確実にホワイトニングの効果が得られるシステムを採用しています。 診療室で行うオフィスホワイトニングとご自宅で行っていただくホームホワイトニング、双方を組み合わせたデュアルホワイトニングを行っております。

1.オフィスホワイトニング

診療室でホワイトニングをおこなってしまう方法です。 当院では「Ken’sホワイトニング」を採用しております。 このホワイトニングは他のシステムと比較して以下の特徴があります。

  • しみない
  • 痛くない
  • 料金が安い
  • 歯に優しいので何回でも反復できる
  • 艶々で自然な透明感が得られる
  • 歯肉への害が少なく安全性が高い
  • 一度に多くの歯をホワイトニングできる

 

それでは施術の流れを説明します。

 

  1. 歯面に付着している着色物を除去します。

 

オフィス1

  1. 調合したホワイトニング剤を上下12本の歯面に塗ります。
オフィス2

  1. ホワイトニング専用のライトで光照射を行います。
オフィス3
オフィス4

  1. ホワイトニング剤をふき取り、水洗します。

 

オフィス5

この作業を1回の診察で3回繰り返します。

 

実際のホワイトニング症例を紹介いたします。

 

 

 

オフィスホワイトニング症例


オフィスホワイトニング流れ

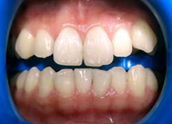
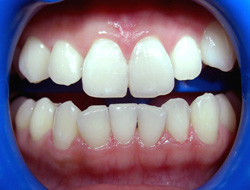
  1. ホワイトニング施術前の状態です。
オフィス症例1

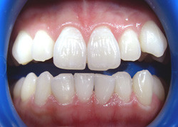
  1. ホワイトニング1日目終了後の状態です。

    術前に比べて若干白くなっていますが、それよりも歯の表面がツヤツヤに光っています。
オフィス症例2

  1. ホワイトニング2日目終了後の状態です。

    ホワイトニング前と比較してはっきりと白くなってきました。
オフィス症例3

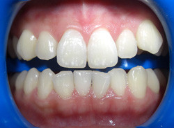
  1. ホワイトニング3日目終了後の状態です。

    さらにホワイトニング効果によって自然な透明感とツヤがありながら美しい白さが得られるようになりました。

 

オフィス症例4

*症例のように大幅に白くされるには、3回以上の処置が通常必要になってまいります。

 歯周病の管理ができていない方は、歯肉を損傷させる恐れがありますので行えません。

2.ホームホワイトニング

ご家庭でホワイトニングを行っていただく方法です。

特にオフィスホワイトニングでは手に負えない重度の着色や、極端な白さをお求めのケースに適しています。国内で広く流通し薬事承認されているホワイトニング剤はホワイトニング成分が10%しか入っておらず、はっきりと効果が得られるまで長期間かかってしまいます。 そこで当院ではホワイトニング成分が21%入っているホワイトニング剤を海外より直接取り寄せています。

 

ホームホワイトニングの利点

  • 確実に白くなります
  • 自然な白さが得られます
  • 歯にダメージをほとんど与えません
  • 一般的なホームホワイトニングより短期間で白くなります
  • ご希望に応じて奥歯までホワイトニングができます

 

ホームホワイトニングの欠点

  • 毎日ご自分でしていただく煩わしさがあります
  • オフィスホワイトニングより期間がかかります
  • ごくまれに歯がしみることがあります
  •  マウスピース装着で違和感が生じます
  • 上下の歯を同時に行うことは好ましくありません

それでは施術の流れを説明します。

 

ホームホワイトニング流れ

  1. ホワイトニング用マウスピース作成のための歯型採りをします。
ホーム1

  1. 後日、来院していただき作成した専用のマウスピースとホワイトニング剤をお渡しし、ご家庭で使用していただくに当たっての説明を致します。 ここからご家庭で行っていただく内容です。
ホーム2

  1. 専用マウスピースにホワイトニング剤を注入します。

    ホワイトニング剤で満たされたマウスピースを歯に装着し、ホワイトニングを開始いたします。

 

ホーム3

  1. マウスピースを装着状態で専用ライトを使って20分間反応させます。
ホーム4

実際のホワイトニング症例を紹介いたします。

ホームホワイトニングの症例

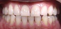
  1. ホワイトニング施術前の状態です。
ホーム症例1

  1. 専用マウスピースとホワイトニング剤をお渡しし、今回は上の前歯6本をホワイトニングします。
ホーム症例2

  1. 毎日、ご家庭でホワイトニングを行っていただきます。
ホーム症例3

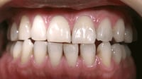
  1. 上の前歯が自然な透明感を得ながらかなり白くなっています。
ホーム症例4

*このように十分な白さを得るには個人差もございますが、1週間程度のホワイトニング期間が必要になります。

*オフィスホワイトニング・ホームホワイトニングとも好まれる飲食物の状況によって長期的には後戻りが生じますのでご了解ください。

 


オプティックホワイト

当院では極力後戻りを防止するため、ホワイトニング専用歯みがき剤を推奨しております。

オフィスホワイトニングとホームホワイトニングを組み合わせたデュアルホワイトニングを行うことによって相乗効果が得られ、効率的なホワイトニングが行えます。

3.ヤニ取り

プロフィフレックス
  • 厳密にはホワイトニングとは異なりますが、歯の表面に優しい微粒子の粉を高密度に吹きつけて、歯の表面に付着した頑固な着色物を除去します。
ヤニ取り


ホーム / はやし歯科診療所について (院長紹介…) / ★はじめての方へ (医院理念  診療の流れ  感染予防…)  / 治療について 

 

※ご新規の方は行き違いを防ぐため、”治療について”ではなく、”★はじめての方へ” (医院理念  診療の流れ …) をご覧ください。

〒600-8846 京都府京都市下京区朱雀宝蔵町14

JR嵯峨野線 梅小路京都西駅から北西へ徒歩7分

TEL : 075-313-0024

 


予約フォーム

◆料金・お支払・保障制度

お支払方法について
保障制度

◆スタッフ募集

歯科衛生士求人・募集


◆カレンダー

スマホでご覧の方へ:スマホを横向きにすると、カレンダーを見やすくなります

 


◆診察時間

 

午前 8:30~14:00

8:30~15:30

午後 16:00~18:00

【〇:診療あり  -:休診】

※ 診療時間:土曜は毎週 8:30~15:30

 ・最終受付時間は各最終診療時間の30分前まで

・特に土曜日の診療時間は公務が多く不定期にかわりますので、電話にて直接お問い合わせください。 

ご新規の方は、"はじめての方へ" (医院理念  診療の流れ …)をご覧ください

 



お問い合わせフォーム