子ども歯並び、叢生(乱くい歯)

よく子どもの歯並びについて「様子を見ましょう」、と歯医者さんからも保護者の方からもよく耳にします。

 

果たして本当に様子を見ているだけでいいのでしょうか?

 

それとも積極的に矯正治療などを行わないと、将来取り返しのつかないことにならないでしょうか?

 

ここでは矯正治療の頻度が最も高い”叢生”(乱くい歯)について説明します。

1.叢生(乱くい歯)とは?

叢生(乱くい歯)とは歯のサイズに対して歯が植わる歯ぐきのサイズが足りず、歯がきれいに揃わずガタガタに生えてしまうことで、最も頻度が多い歯並びの異常です。


歯が真っすぐきれいに生え揃うにはそれだけのスペースが必要になります。

もしそのスペースが足りない場合、狭いスペースで歯が生えるために歯並びに段差が生じます。

 

すなわち”叢生”(乱くい歯)とは歯の配列スペース不足が主たる原因となります。

2.様子見て大丈夫なケース、様子見ているだけではダメなケース

こちらは乳歯が隙間なくピッチリきれいに揃って生えています。

また上の前歯が下の前歯を大きく覆っています。

一方、こちらはいたるところが隙間だらけで乳歯が生えています。

またほとんど上の歯と下の歯の先端同士で前歯が噛み合っています。

さて、皆様どちらが正常だと思われますか?

正解は下の段です。

 

正しい乳歯列は以下の要件に該当します。

  • 歯と歯の間に隙間がある
  • 上下の前歯が先端同志で咬み合う(噛み合わせが深くない)
  • 上下歯列の真ん中が顔の真ん中と一致している
  • 奥歯の噛み合わせ(ターミナルプレーン)が正常(一般の方には判別困難)

上段のケースは乳歯列が隙間なくピッチリ生え揃っており、下の前歯が上の前歯で覆われており一見すごくいい歯列に見えます。

しかし何もせずに永久歯の萌出が完了すると、スペース不足から歯並びがガタガタになります。

 

下段のケースは隙間だらけの乳歯列で、下の前歯の先端が上の前歯の先端付近で接触しており、一見良くないと見えます。

しかしこういったケースでは特に何もしなくても永久歯に全て生え変わると、理想的な歯並び・噛み合わせになります。

 

 

3.上と下で様子の見方が違います

乳歯から永久歯に生え変わる際に”リーウェイスペース”と呼ばれる生理的に生じるスペースがあります。

このスペースは側方歯群と呼ばれる前から3番目・4番目・5番目の3本の歯の幅の総和が永久歯より乳歯の方が大きいことで生じるスペースです。

このリーウェイスペースが教科書的には上顎で左右各々0.9mmずつ、下顎で1.7mmずつとされています。

しかし実際、上の歯は巨大化傾向にあり現在では上顎のリーウェイスペースは殆ど無いのが現状です。

 


上段は乳歯列の時に隙間なくピッチリ生えている状態です。

通常、上顎はリーウェイスペースがほとんど期待できないため、永久歯に生え揃うとこのように歯並びが重なってしまいました。

 

一方、下段も乳歯列の時に隙間なくピッチリ生えている状態です。

下顎はある程度リーウェイスペースが期待できるため、そのスペースを無駄に消費しないよう定期健診を続けながら適切な対応を行った結果、永久歯がきれいに生え揃うことが出来ました。

 

このように上手に管理を行っていけば将来矯正治療を希望された際、上だけで済むこともあります。

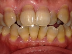
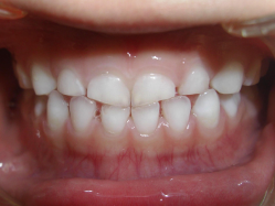
4.叢生(乱くい歯)における早期治療のメリット

上段は先ほどお示しした乳歯列の時期に、歯が隙間なくピッチリ揃っています。

当方で早期の矯正治療の必要性を説明いたしましたがご理解いただけず、永久歯列になると予想通り不揃いな歯並びになってしまいました。

  

下段は隙間が無い乳歯列のお子様です。

早期の矯正治療の必要性を説明し、ご家族の理解を得ることが出来ました。

早期に矯正治療を行うことで、さほど大掛かりなことを行うことなく、比較的簡単な治療で済ませました。

現在ではきれいな永久歯列になっています。

 

このように叢生の程度が重度でないケースであれば、簡単な治療で歯を削らず、歯を抜かず、きれいな永久歯列を早期の矯正治療で得られることがあります。



ホーム / はやし歯科診療所について (院長紹介…) / ★はじめての方へ (医院理念  診療の流れ  感染予防…)  / 治療について 

 

※ご新規の方は行き違いを防ぐため、”治療について”ではなく、”★はじめての方へ” (医院理念  診療の流れ …) をご覧ください。

〒600-8846 京都府京都市下京区朱雀宝蔵町14

JR嵯峨野線 梅小路京都西駅から北西へ徒歩7分

TEL : 075-313-0024

 


予約フォーム

◆料金・お支払・保障制度

お支払方法について
保障制度

◆スタッフ募集

歯科衛生士求人・募集


◆カレンダー

スマホでご覧の方へ:スマホを横向きにすると、カレンダーを見やすくなります

 


◆診察時間

 

午前 8:30~14:00

8:30~15:30

午後 16:00~18:00

【〇:診療あり  -:休診】

※ 診療時間:土曜は毎週 8:30~15:30

 ・最終受付時間は各最終診療時間の30分前まで

・特に土曜日の診療時間は公務が多く不定期にかわりますので、電話にて直接お問い合わせください。 

ご新規の方は、"はじめての方へ" (医院理念  診療の流れ …)をご覧ください

 



お問い合わせフォーム