咬み合わせ・歯並びが不正になる原因の大半は、健全な顎の成長が妨げられたためです。
特に顎の成長方向が本来は前方に進むべきベクトルが、下方に進んで面長になってしまった結果です。
バイオブロックではこの成長方向を前方に促すコンセプトで治療を行いますが、それは上顎に対して咬み合わせの面や下顎を主に前方に誘導するものです。
特に重度のケースでは上顎の後方部が大きくずり下がっていますが、今までの矯正装置で上顎の後方を効果的に上げることができる装置はありませんでした。


しかし重度の咬み合わせ・歯並びの不正では頭蓋に対して上顎そのものがずり下がってしまっており、バイオブロックの装置だけでは歯が立ちません。
またバイオブロックをはじめとして他の矯正装置の使用によって、上顎のずり下がってしまう現象がかえって悪化してしまうことも少なくありません。
このようにずり下がった上顎を前上方に引き上げるためには口腔内の装置では難しく口腔外の装置が必要になります。
口腔外装置は既存のものが多くありますが、どれも一方向にしか引っ張ることができません。
一方、このRAMPAは上顎の成長方向を三次元的に制御できる稀有な矯正装置です。
RAMPAは口腔外装置と口腔内装置を連結する構造になっています。


口腔外装置は頭頂部と頬を固定源にする独特の構造です。この構造のため、顎顔面の前方への成長を妨げずに上顎の成長方向を制御することができる一方、非常にシビアな調整が求められます。
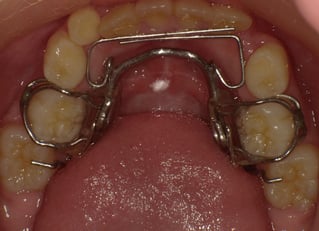
一方、口腔内装置のほとんどのは樹脂をベースに拡大のためのスクリューが埋め込まれているものを、歯に直接くっ付けます。多くのケースでこの口腔内装置は複数を交換します。
この歯に固定された口腔内装置にアクティブボーと呼ばれる連結装置を取り付けて、口腔外装置と6ヶ所規定のゴムで繋いで上顎に対する矯正力を作用させます。
RAMPAによる矯正治療を行うことによって上顎は三次元的に前上方に引き上げられ、次いで下顎がそれに合わせて前上方に回転することによって、健全な顎・顔面の育成を行いながらより良い歯並び・咬み合わせを整えていきます。
RAMPAの装着について最初のうちは誰かに手伝っていただかないと上手くいきませんが、毎日試用していただいているうちに多く方がご自分で上手に装着されていますので、さほど難しくありません。
しかしこのRAMPA、成長途中の小児で一日最低でも12時間以上、成長が殆ど止まってしまった方は一日最低でも14時間以上装着しないと結果が出ません。
よってきちんと装着時間を守れる方のみ対象になる治療法です。
その代わり、このRAMPAは装着さえ守れば上顎を三次元的にコントロールできる他の治療法では難しい結果を得ることができます。
元々このRAMPAは矯正治療のために行っているものですが、実際に治療を行ったケースの多くは口腔以外で以下のような現象をよくもたらしています。
予めRAMPAの使用ご了承いただいている場合、治療の効率化のため初期段階からRAMPAを装着します。ほとんどのケースでスペース不足があるため初回の口腔内装置は拡大効果の高いものを用い、水平的に広く拡大します。
ある程度RAMPAに慣れていただいたら下顎を拡大するために通常、バイオブロック下顎ステージⅠを装着します。
最初のRAMPA口腔内装置を使いきったらその後は上顎の三次元コントロール作用が強いものに交換して、合わせて前方方向の拡大を行います。
これでもまだ上顎のコントロールが不足している場合はさらに上顎の三次元的コントロールを行うため、さらに口腔内装置を新たに交換することもあります。
頭蓋に対して上顎を適正な位置に前上方に誘導され、永久歯交換に十二分な拡大量が確保できて、姿勢が正しくなったらRAMPAを外して、バイオブロックステージⅡを上顎に装着しながら、下顎の拡大を継続します。
下顎も十分拡大が完了出来たら長く使っていた下顎ステージⅠを外してバイオブロックのステージⅢを装着して、下顎を前上方に回転させながら成長を促し、永久歯列が健全に並びきるまで治療を続けます。その際、上顎で使っていたバイオブロックステージⅡを改造した装置を併用するとさらに効果が促進されます。