健康な顎顔面口腔を育成するためには、段階的に進んでいく食育と切っても切れない関係があります。
しかし現在、「硬いものを噛めば顎が育つ」といった根拠のない噂が真実のように語られ、かえって歯並びや噛み合わせの悪い子どもが増えてしまっています。
そこでなぜむやみに「硬いものを噛ませる」ことがいけないのか、科学的に説明いたします。
正常な顎骨の発育は図の通り上顎が先行し、後から下顎が発育します。
よって正常な顎骨の発育のためには上顎の正常な発育が不可欠です。
この上顎の発育は主に食べ物を口蓋と舌で押しつぶすことにより促されます。
下顎の骨は実は生まれたばかりは殆ど1本の棒のようにまっすぐに近い状態です。
この状態から適切な授乳・離乳食などが与えられ、正常に表情筋群・咀嚼筋群・舌骨筋群などが働くことにより、望ましい方向で垂直的かつ前方回転しながら発育します。
前述のように正常な上顎と下顎の発育が生じると、乳歯の歯の萌出に伴って噛み合わせが正常に発育します。
乳前歯が噛み合った時期は下の前歯が上の前歯ですっぽり覆われるほど深い噛み合わせです。
しかし上下顎が正しく発育することによって、前歯の噛み合わせは浅くなり奥歯の噛み合わせの高さが増していきます。
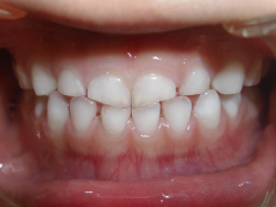
上顎・下顎が正しく発育し、乳歯列の嚙み合わせが理想的な状態になると歯を支えている歯ぐきは成長し、サイズの小さな乳歯だとこちらの写真のように”すきっ歯に”の状態になり、今後サイズの大きな永久歯が生えてきても歯が並ぶ場所が整います。
骨格や体幹に合わない硬い食事を噛むと顎の運動は縦の動きが主体になります。
すると歯自体に大きな衝撃が加わることで、歯が欠けてしまうのみならず、歯の神経が死んでしまうこともあります。
一方、適正な硬さの食事を噛む時は、顎の運動は横の動きが主体になり、スムーズに上下の歯が接触します。


硬い食事を噛んだ場合、下顎は後ろに下がったまま”蝶つがい”の大きな動きになります。
この状態だと顎関節は強く圧迫されます。
一方、適正な硬さの食事を噛んだ場合、下顎は前後に滑走する小さな動きになります。
この状態だと顎関節に対するストレスは生じません。




硬い食事を噛むと舌はこわばり後下方に下がり気道を圧迫するようになります。
一方、適正な硬さの食事を噛んだ場合、舌は前上方に上がり上顎の粘膜に吸い付くように接触し、気道が広がります。


硬い食事を噛んだ場合、舌が後下方に引っ込みます。そのことによって口蓋が舌と触れなくなり、上顎を発育させる舌の力が働かなくなります。また舌の動きに下顎が引っ張られ、下顎の発育も抑制されます。
一方、適正な食事を噛んだ際、舌は前上方に持ち上がります。そのことによって口蓋は舌にしっかり押し付けられることによって上顎の発育が促されます。また舌の動きによって下顎は前方回転の方向に引っ張られ、下顎の発育も促されます。


硬い食事を噛み続けていると特に下顎が大きく後退してしまい、一見”出っ歯”で前歯の噛み合わせが深くなります。
一方、適正な食事を摂り続けることで下顎の発育が促され、上下の前歯の先端同士で当たる浅い噛み合わせになります。


硬い食事を噛むと体幹の弱った現代人は頚椎を支えることが出来ません。その結果、頚椎にひずみが生じ頭蓋が後方に揺らされます。その結果、さらに頚椎を痛めることになります。
さらに下顎は後方に押し込まれ、顎関節に大きな負担がかかります。
猫背や反り腰、ストレートネックなど、姿勢は崩れやすくなります。
一方、適正な硬さの食事を噛んだ場合、頭蓋・頚椎共に安定して下顎の位置も大きく変わりません。


硬い食事を摂り続けていると、上顎は狭窄して隙間の無い歯列になり、下顎は後退し一見出っ歯に見える深い噛み合わせになります。
このまま永久歯に交換しても、歯をきれいに並べるだけのスペースはありません。
一方、和食中心の適正な食事を摂り続けることで、上顎は拡大し隙っ歯の歯列になり、下顎は前方回転して浅い噛み合わせになります。
このまま永久歯に生え変わるときれいな歯列・歯並びに整いやすくなります。