こんにちは。歯科技工士の菅原です。
4月に入りようやく春らしくなって参りましたが皆さまいかがお過ごしでしょうか。
さて、以前ブログで詰め物の種類についてお伝えしましたが、今回はセラミックの中でももっと硬い素材のジルコニアについてお話しさせていただきます。
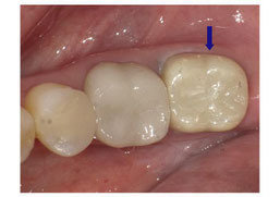
現在当院では臼歯部でセラミックの詰め物・かぶせ物をご希望の場合、ジルコニアを選択していただく患者様が増えております。
利点
非常に強度があるので割れにくい
通常のセラミッククラウンが400mpaなのに対し、ジルコニアは約1200mpaもあるので噛む力の強い方に向いています。(エナメル質は200~400mpa)※mpa…曲げ強さの単位
また、噛みあわせを調整した後、滑沢に研磨しますので、硬いがゆえに噛み合う歯を削ってしまうという心配はありません。
汚れが付着しにくい
他のセラミックにも言えることですが、ジルコニアは超高密度の原子が配列している非常に硬い素材ですので傷がつきにくく、プラークなどの汚れが付着しづらいです。
欠点
セラミックに比べると透明感がなく真珠のような質感をしています。ですので前歯などの審美的な部分に使用する場合は、セラミックを築盛します。
しかし、透明感がないことにより土台の色が合わない場合、透けてこないという利点もあります。
近年は天然の歯の色に近い高透過性ジルコニアも普及しておりますが強度的には半分程度になるので部位によっては使用できないこともあります。
あと値段が高くなってしまうという欠点はありますが、その分お口の健康に良いことがたくさんあります!気になる方はお気軽にご質問ください!!

コメントをお書きください