こんにちは!歯科技工士の菅原です。
11月に入りだんだんと冬が近づいておりますがいかがお過ごしでしょうか。
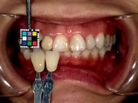
今回は歯の色調(シェード)についてお話しいたします。
セラミックなどの歯を製作する場合、周囲の歯と色調を合わせるために歯の色を見せて頂く事をシェードテイキングと呼んでおります。
その際、シェードガイドと呼ばれる16色の歯の形をした色見本を用います。
歯の色は日本人に多いオレンジ系のA、イエロー系のB、グレー系のC、褐色系のDがあり、彩度により1~4に分けられています。
歯の色はとても複雑で、単に数値で決められるわけではありません。
同じ口腔内でも歯によって全く異なり、歯ぐきの側と縁の側では明度もシェードも違います。また歯の内部の象牙質の色や形も違うので、患者様に合った歯をお作りする上でシェードテイキングがとても重要な作業になります。
当院では、必要に応じて技工士が直接患者様の口腔内を見させていただき、シェードガイドと見比べ患者様と相談しながら歯の色を決めております。
もし色や形が気になる場合、ご相談もさせて頂きますので、お気軽にお声がけ下さい(*^^*)

