こんにちは!
歯科技工士の菅原です。
四月に入りましたが今年は桜があっという間に散ってしまい、早くも新緑の季節となりました。
みなさまいかがお過ごしでしょうか。
今回は当院で行っている、主なセラミック治療の特徴についてお伝えしたいと思います。
当院で扱っているセラミック類はジルコニアセラミック、オールセラミック、フルジルコニア、などがあります。部位や、個々の咬み合わせの状態によって向き不向きがあります。
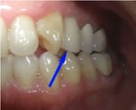
フルジルコニア
透明度の低い色調のもので強度が約1200メガパスカル(曲げ強さの単位)ほどで、主に大臼歯のかぶせ物、詰め物に向いています。
近年では透明度の高いものも出ていますが、硬さは半分近くまで落ちる
ので、当院では強度を重視して透明度の低いものを導入しております。
キャスタブルセラミック
強度は約400メガパスカルほどで、主に小臼歯のかぶせ物、詰め物におすすめしております。透明度が強いのでとても自然できれいな仕上がりです。
単色なので前歯には不向きです。
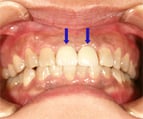
ジルコニアセラミック
非常に硬いジルコニアフレームにセラミックを焼き付けたもの。
咬み合わせの強くかかる所やブリッジにも使用でき、オールセラミックの次に美しい仕上がりになります。
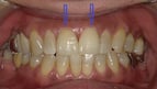
前歯のかぶせ物に向いています。
オールセラミック
キャスタブルセラミックのフレームにセラミックを焼き付けたもので、歯の本来の透明感を再現できるので、セラミックの中では最も美しい仕上がりになります。
前歯のかぶせ物に向いています。
この様にセラミックにもいろいろな種類がありますので、気になる方はお気軽にご相談ください(^O^)/
