こんにちは!歯科技工士の菅原です。
今年は巨大な台風が多くてびっくりします。。
これから秋にかけて増えると思われますので十分注意なさってください!
今回は接着性ブリッジ(ヒューマンブリッジ)についてお伝えしたいと思います。
虫歯などで歯を失った場合、義歯、インプラント、ブリッジの選択肢があります。
ブリッジは隣の歯を削ってかぶせる物で、自然な装着感でよく噛めることからで、一般的によく行われている治療ですが、当院ではかぶせたブリッジの隙間から菌が入り込んで虫歯の原因になり再治療が必要になった場合大がかりな治療になってしまうので、当院ではあまり若い方にはお勧めしておりません。
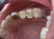
接着性ブリッジとは隣の歯を削る量を極力少なくした歯に優しいブリッジです。
当院では従来の接着性ブリッジの欠点を解消するための特殊な構造の”ヒューマンブリッジ”を導入しております。
最新の接着技術を導入しているので接着不足によるトラブルのリスクも回避できます。
