こんにちは、歯科衛生士の佐々木です。
台風一過でお天気となりましたが、これから一段と冷え込んでくる季節です。
油断せずに体調管理は万全に行いましょう!
さて、今回はタイトルにある「ホワイトスポット」のお話ですが、歯科医院やテレビなどで聞いたことありませんか?
「白濁」や「初期脱灰(だっかい)」とも言います。
ではいったいナニが白濁するのでしょう??
それは歯です。歯の表面のエナメル質が溶けてくると白く濁るんです!
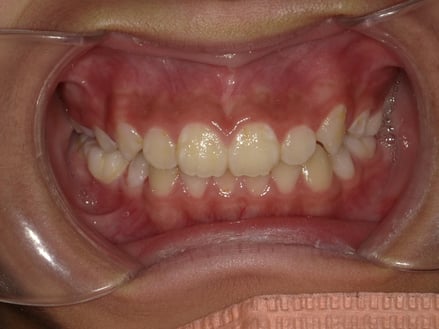
この子の歯をよ~く見てみてください。
↓↓

所々はっきりと濁りが見えるのがわかりますか?
歯垢やプラークと呼ばれるヌルヌルとした汚れがたくさん付いていますね。
このヌルヌルはバイ菌です。
この表面に付いた虫歯菌が出す酸で歯が溶けていくことを脱灰と言い、まずはエナメル質が溶けていき白く濁るのです。
そして、脱灰が進んだ歯はとどんどん柔らかくなっていって、ついに穴があいてしまいます。
これが虫歯発生のメカニズムです。
さっきの写真の子は小学校6年生ですが、実は白濁は大人の歯にもよく見られます。
↓↓

まだこれぐらいでは虫歯治療は必要ないのですが、進行するとC1やC2と移行していく足がかりになるものです。
まずは、ご自身やお子様の歯をよく観察してみてください。
長期的にフッ化物を取り入れることでホワイトスポットは少しずつ消えたり薄くなることもありますが、予防のお話など詳しくは当院のホームページ内にも記載がありますので、宜しければご覧ください。
また、初期の虫歯は削って治療するレベルかどうかの判断がとても難しい場合もありますので、気になる方は受診してみましょう。
なお、当院の定期検診では、脱灰が進んでいないかのチェックは必ず行っております。