こんにちは!技工士の菅原です。
寒さも和らぎ、春の訪れを感じる季節になりましたね。
今回は当院のセラミック治療についてお伝えしたいと思います。
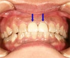
詰め物、かぶせ物で白い歯をご希望の場合はいくつか方法があり、特におすすめなのが保険適用外のオールセラミック、オールジルコニア、ジルコニアセラミックです。
審美的、耐久性、適合に優れており着色もしづらく長期的に安定しているのでお勧めです。
オールセラミックは当院ではキャスタブルのe-maxを使用しており、審美的にも強度的にも優れているので主に小臼歯に向いています。
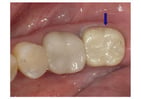
オールジルコニアは強度的に金属と変わらないほどの強度を持っており欠けたり割れたりすることが非常に少なく、咬む力が強くかかる大臼歯に向いています。
ジルコニアセラミックはジルコニアの裏打ちに透明感のあるセラミックを焼き付けたかぶせ物です。強度と審美性を併せ持ち、咬む力の強い方で前歯に向いています。
また当院では歯との接着もロカテック処理を行っているので長期の耐久性を実現しています。
保険でもプラスチック素材で白いものを入れることもできますが、摩耗しやすく変色してきますのでセラミックと比べると審美的、耐久性も劣ります。
今回は詰め物かぶせ物についてお伝えいたしました。
尚口腔内の状態によって向き不向きがありますのでご希望の素材が選べない場合もございます。
また歯自体を白くする方法もございますので気になる方は一度ご相談ください!
