皆様こんにちは、歯科衛生士の三浦です(^^)/
日ごとに暖かくなり、すっかり春らしい陽気になってきましたね。今年は桜を見にお出かけしたいなぁ~と考えていますが、紫外線と花粉症の心配で躊躇してしまうかもしれません。(-_-;)笑
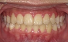
今回はプチ矯正のお話しをします。
マスク生活が定着してコミュニケーションを取る際、表情が分かりにくい事が多いですよね。口元は表情を作るのに欠かせない場所ですから、そこを隠している状態だと伝わりにくいです。言い換えると、口元の印象でその人の印象は大きく左右されるということです。
歯に自信がなくて笑顔に自信がないという方も多いかと思います。
当院では前歯だけのプチ矯正をスタートしました。
流行りのマウスピース矯正より、低コストで短期間で終わります。
ご興味がある方はお気軽にスタッフにお声がけ下さい。
before
after
