こんにちは、歯科衛生士の佐々木です。
ぽかぽか暖かい日が続いて気持ちいいですね。
満開の桜は観に行けましたか?
さて、今回はお口の中の骨のお話です。
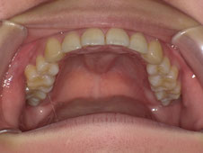
まったくない方もおられますが、写真のように歯の下の左右にあるコブみたいなものを「骨隆起」といいます。上顎にも真ん中に同じようにできます。


自覚がない方も多いので、ぜひご自身のお口の中を鏡で観察してみてください。
子どもの頃にはなかったのに、なぜこんなに骨がモコモコ盛り上がってくるのかというと、実は、噛む力が強かったり食いしばりや歯ぎしりなどが原因なのです。
心当たりはありませんか?
骨隆起がある=食いしばる力で歯を壊してしまうリスクが高いということになるので、その食いしばりへの対策が必要です。定期検診など診療の際にお話していますので、参考にしていただければと思います。
なお、この骨隆起自体は、骨の上に被っている粘膜が薄く傷付きやすかったり歯型採りや入れ歯を入れた際に当たって痛いというデメリットがありますが、特に治療の必要はありません。