こんにちは!歯科技工士の菅原です。
朝晩冷え込むようになり、そろそろインフルエンザの予防接種の時期ですね。
私は毎年受けていますが、今年は流行る見込みとのことなので早めに受けたいなと思っています。皆さん体調崩されませんようお気を付けください!
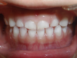
さて今回は子供の歯並び(叢生)についてお伝えしたいと思います。子供の乳歯列、下の左側の写真の隙間なくきれいに並んでいる状態、一見正常に見えるかと思います。ですが実は右の写真の歯と歯の間に隙間がある状態が正常になります!
隙間なくきれいに並んでいる状態をそのままにしてしまうと永久歯が入るスペースがなく、このままだと叢生(乱ぐい歯)になり、長期の矯正治療が必要になります。
これを放置せずに定期的に診させていただくことで治療が必要になった場合でも簡単な治療で済むことが多いので、気づいたらなるべく早く(できれば7歳ぐらいまでが理想です)ご相談ください。
また異常がない場合でも定期的に診させていただくことで小さな変化にも対応していくことができます。赤ちゃんからお年寄りまでみなさん定期検診を受けましょう!


