近年、急速に普及してきた床矯正。
特別な技術が無くとも治療できることで、多くの歯科医院で行われるようになってきました。
一方、床矯正のみで対応できるケースの多くは、小学校低学年程度までの年齢で、軽度のスペース不足で、骨格的に問題の無いケースに限られてしまいます。
しかしこのように限界の多い床矯正であるにも関わらず、無理に床矯正を進めてしまい結局きれいに並ばないどころか咬合異状・審美障害・顎関節症などを引き起こしてしまうケースも見受けます。
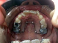
丸々歯1本分ほどスペースが不足しているようなケースにおいて、通常の床矯正のみで矯正を完結させられることはほぼ不可能です。
当院では今まで重度のスペース不足に関しては、リンガルアーチと呼ばれるバンド矯正や全ての歯にワイヤーをかけるマルチブラケット矯正が永久歯が揃ってからも必要になり、矯正終了後も長年後戻りを防ぐためにリテーナーと呼ばれる器具を装着することになります。




しかしそもそもスペース不足の多くは歯を支えている顎の骨全体が小さいのではなく、顎の骨に回転とひずみが生じた結果、歯を支えるスペースが足りなくなります。
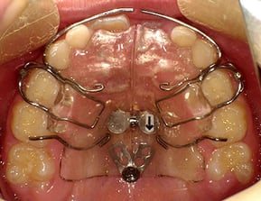
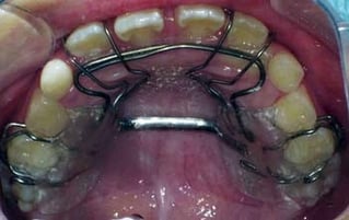
通常の床矯正ではこのひずみが残った状態でただ顎を広げるだけなので、どうしても後戻りしようとする強い力がかかってしまいます。
一方、バイオブロックなどの顎顔面口腔育成治療では下方向に発育しようとする顎・顔面の骨を、正常な方向に発育の方向を変えてることで、結果として自然に歯が並ぶスペースが得られる方法で、見た目は良く似ていますが治療コンセプトや治療結果は全く異なります。
さらに顎顔面口腔育成治療を行うことによって歯並び・咬み合わせ以外に改善する可能性のある症状は以下のようなものがあります。
このように顎顔面口腔育成治療は結果的に歯並びを治す方法であって、それよりも重要な“異常な呼吸の改善”や“理想的な気道の育成を”を重視した治療コンセプトです。




